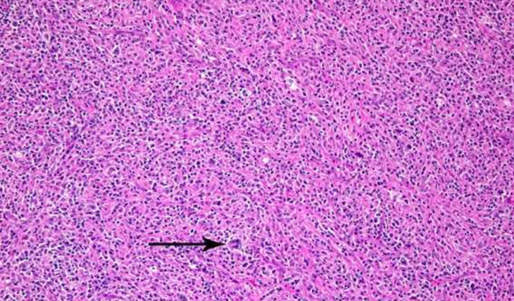
Hodgkins Blood Case Study [Robert O. Young, Ph.D., D.Sc.]

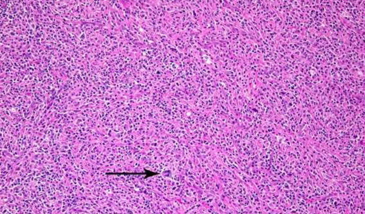
Hodgkins Blood Case Study [Robert O. Young, Ph.D., D.Sc.]